Studio Lupini

Ortodonzia


  • Home
  • La Prima Visita
  • Conosciamo La Specialista
    • Curriculum Vitae
    • Società Scientifiche di Appartenenza
    • Pubblicazioni Scientifiche
  • Lo Studio
  • Casi
  • On The Road
  • Disturbi Del Sonno
  • Contatti

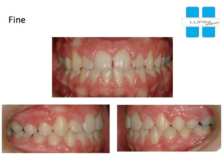
Palato Stretto Adolescente - Trattamento Ortodontico-ortopedico in Dentatura Permanente





 
 

© 2012 Sitename.com. | Photos by Fotogrph | Design by FreeCSSTemplates.org.